Search
2020 Volume 7
Article Contents
RESEARCH ARTICLE   Open Access    

Rare Treatment for a Rare Tumor: Cryoablation of a Granular Cell Tumor

More Information
  • Corresponding author: Jerry Matteo Department of Radiology, University of Florida Health 655 West 8th Street Jacksonville, FL 32209 (USA) E-Mail jerry.matteo@jax.ufl.edu
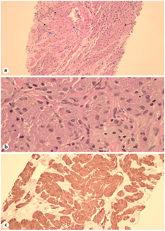
  • Background: Granular cell tumors (GCTs) or Abrikossoff's tumors are rare neoplasms known to originate from Schwann cells in the peripheral nervous system. These lesions are usually benign; malignancy only occurs in 1–2% of cases. Surgical resection is the traditional treatment method for GCTs, but it poses several risks and disadvantages related to the surgical incompatibility of the patient, the extended recovery time, and the chance of relapse. Cryoablation is becoming an increasingly favored method of treatment for tumors, both benign and malignant, due to its minimal invasiveness, natural analgesic properties, and ability to stimulate antitumor immunity. Cryoablation may contribute to the prevention of secondary and metastatic tumor growth in cases of malignancy by preserving tumor-associated antigen molecules for recognition by cell-mediated immunity.
    Methods: This article describes a novel method for GCT treatment using cryoablation. This technique exposes tumor tissue to extreme cold temperatures, effectively destroying tumor cells by irreversibly compromising their plasma membranes. To our knowledge, this is the first report in the literature of cryoablative techniques being used for GCT.
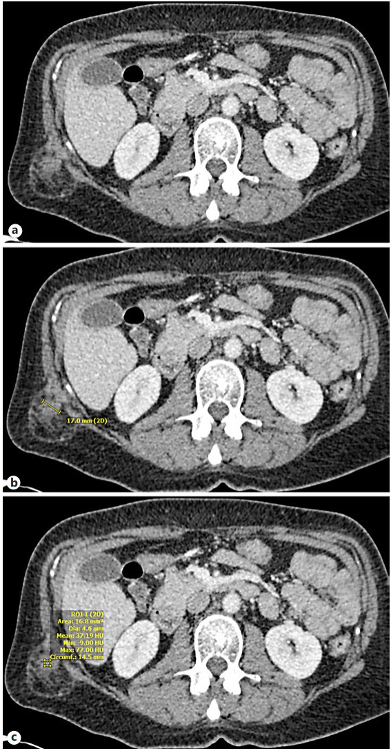
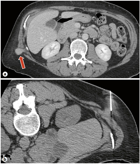
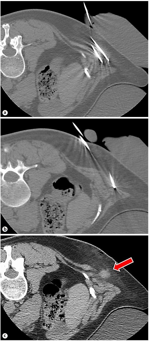
    Results: Cryoablation of this mass was successful with no complications. CT images during the procedure demonstrated circumferential coverage of the entire lesion with no injury to the surrounding tissues.
    Conclusion: Cryoablation can be used as an alternative to surgical intervention to treat malignant GCTs. This procedure is minimally invasive, less painful, and potentially effective in promoting antitumor immunity.
  • Cite this article

    Lauren Derstine, Erik Soule, Naudare Shabandi, Zarina Arutyunova, Chandana Lall, Christopher Scuderi, Jerry Matteo. 2020. Rare Treatment for a Rare Tumor: Cryoablation of a Granular Cell Tumor. Gastrointestinal Tumors. 7:4134 doi: 10.1159/000504134
    Lauren Derstine, Erik Soule, Naudare Shabandi, Zarina Arutyunova, Chandana Lall, Christopher Scuderi, Jerry Matteo. 2020. Rare Treatment for a Rare Tumor: Cryoablation of a Granular Cell Tumor. Gastrointestinal Tumors. 7:4134 doi: 10.1159/000504134

Figures(4)

Article Metrics

Article views(1211) PDF downloads(754)

Research Article   Open Access    

Rare Treatment for a Rare Tumor: Cryoablation of a Granular Cell Tumor

  • Corresponding author: Jerry Matteo Department of Radiology, University of Florida Health 655 West 8th Street Jacksonville, FL 32209 (USA) E-Mail jerry.matteo@jax.ufl.edu
Gastrointestinal Tumors  7 Article number: 10.1159/000504134  (2020)  |  Cite this article

Abstract: 

Background: Granular cell tumors (GCTs) or Abrikossoff's tumors are rare neoplasms known to originate from Schwann cells in the peripheral nervous system. These lesions are usually benign; malignancy only occurs in 1–2% of cases. Surgical resection is the traditional treatment method for GCTs, but it poses several risks and disadvantages related to the surgical incompatibility of the patient, the extended recovery time, and the chance of relapse. Cryoablation is becoming an increasingly favored method of treatment for tumors, both benign and malignant, due to its minimal invasiveness, natural analgesic properties, and ability to stimulate antitumor immunity. Cryoablation may contribute to the prevention of secondary and metastatic tumor growth in cases of malignancy by preserving tumor-associated antigen molecules for recognition by cell-mediated immunity.
Methods: This article describes a novel method for GCT treatment using cryoablation. This technique exposes tumor tissue to extreme cold temperatures, effectively destroying tumor cells by irreversibly compromising their plasma membranes. To our knowledge, this is the first report in the literature of cryoablative techniques being used for GCT.
Results: Cryoablation of this mass was successful with no complications. CT images during the procedure demonstrated circumferential coverage of the entire lesion with no injury to the surrounding tissues.
Conclusion: Cryoablation can be used as an alternative to surgical intervention to treat malignant GCTs. This procedure is minimally invasive, less painful, and potentially effective in promoting antitumor immunity.

  • About this article
    Cite this article
    Lauren Derstine, Erik Soule, Naudare Shabandi, Zarina Arutyunova, Chandana Lall, Christopher Scuderi, Jerry Matteo. 2020. Rare Treatment for a Rare Tumor: Cryoablation of a Granular Cell Tumor. Gastrointestinal Tumors. 7:4134 doi: 10.1159/000504134
    Lauren Derstine, Erik Soule, Naudare Shabandi, Zarina Arutyunova, Chandana Lall, Christopher Scuderi, Jerry Matteo. 2020. Rare Treatment for a Rare Tumor: Cryoablation of a Granular Cell Tumor. Gastrointestinal Tumors. 7:4134 doi: 10.1159/000504134

Catalog

    /

    DownLoad:  Full-Size Img  PowerPoint
    Return
    Return