-
About this article
Cite this article
Gunasekaran Gopalakrishnan, Bheemanathi Hanuman Srinivas, Biju Pottakkat, Senthil Gnanasekaran, Raja Kalayarasan. 2021. Perforated High-Grade Mixed Neuroendocrine Nonneuroendocrine Neoplasm of Cecum: Unusual Presentation of Rare Disease. Gastrointestinal Tumors. 8:512237 doi: 10.1159/000512237
Perforated High-Grade Mixed Neuroendocrine Nonneuroendocrine Neoplasm of Cecum: Unusual Presentation of Rare Disease
- Received: 09 August 2020
- Accepted: 21 September 2020
- Published online: 20 April 2021
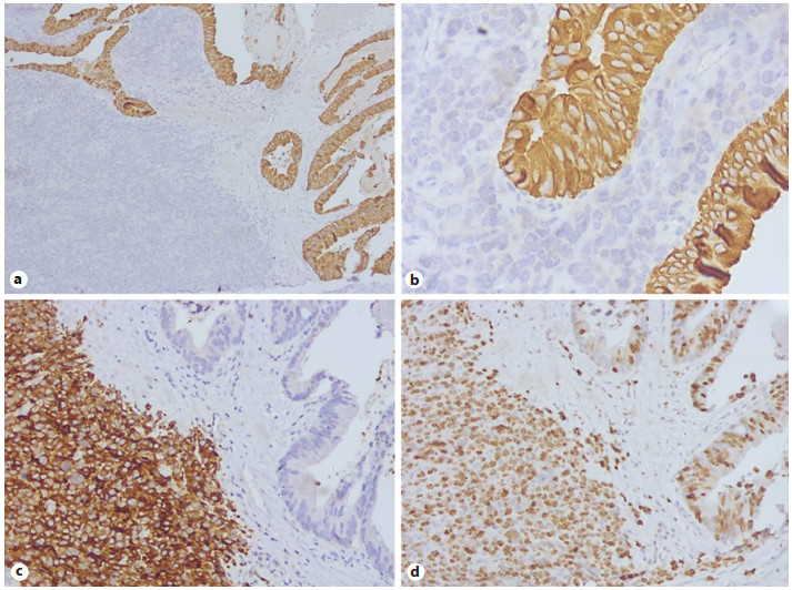
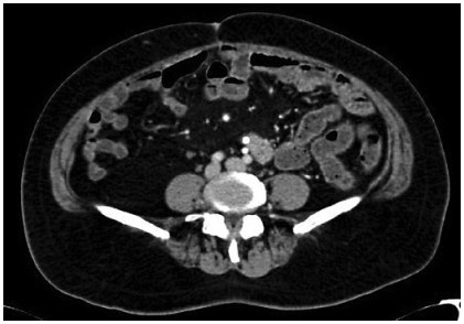
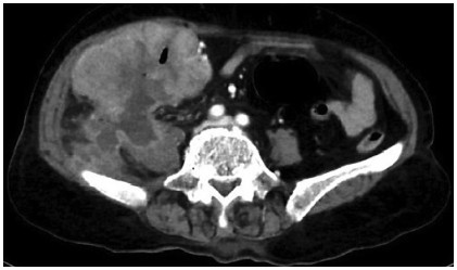
Abstract: Mixed neuroendocrine nonneuroendocrine neoplasms (MiNENs) are rare neoplasms of the gastrointestinal tract, where the neuroendocrine as well as the nonneuroendocrine components each comprise at least 30% of the tumor. Of all cases of colorectal malignancies, MiNENs constitute around 3–9.6%, with only a few cases reported to be arising in the cecum. Since majority present with nonspecific clinical and radiological findings, its diagnosis preoperatively is almost impossible and these are usually diagnosed after histopathological examination of the resected specimen. Owing to the rarity of these tumors as well as lack of complete molecular characterization, optimal treatment remains unestablished. We, here, report a rare case of MiNENs of the cecum infiltrating the right psoas muscle and presenting with perforation for which right hemicolectomy and en bloc excision of the involved psoas muscle was done followed by adjuvant chemotherapy.






