-
About this article
Cite this article
Matthew Stankard, Erik Soule, Jerry Matteo. 2021. Inferior Vena Cava Syndrome as a Manifestation of Metastatic Carcinoid Tumor. Gastrointestinal Tumors. 8:514113 doi: 10.1159/000514113
Inferior Vena Cava Syndrome as a Manifestation of Metastatic Carcinoid Tumor
- Received: 24 September 2020
- Accepted: 29 December 2020
- Published online: 13 April 2021
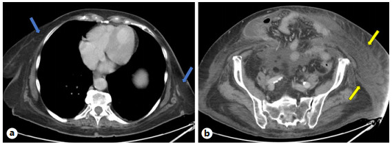
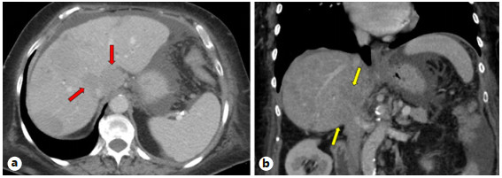
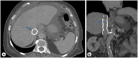
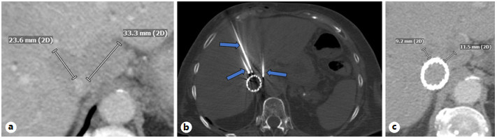
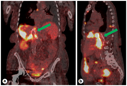
Abstract: Small bowel-origin carcinoid tumor is indolent but may metastasize relentlessly to various sites, including the liver. Over the past 9 years, we have treated a 69-year-old woman who has undergone 5 percutaneous liver ablations, 5 hepatic intra-arterial chemoembolizations, an ovarian cryoablation, and a trans-ventral hernia mesenteric cryoablation. These interventions are all related to her inoperable carcinoid malignancy. After the patient presented with swelling of the abdomen and both lower extremities, computed tomography (CT) angiography was performed, revealing a circumferential hepatic metastatic mass encasing the intrahepatic inferior vena cava (IVC) and extensive third spacing of fluids specific to the IVC distribution below the diaphragm. A venogram of the intrahepatic IVC revealed extrinsic compression causing 95% narrowing of the vessel. A balloon was advanced to the level of the lesion and inflated, increasing the caliber of the vessel. Subsequently, 2 covered aortic stent graft cuffs were deployed in an overlapping fashion within the lumen of the IVC, traversing the area of narrowing. Next, an open-cell aortic dissection stent was placed across both overlapping aortic stents from the renal veins to the hepatic veins. Following this, three 17-gauge cryoablation probes were inserted into the segment 1 intrahepatic lesions encasing the newly stented IVC via an anterior percutaneous approach. Two 10-min freeze cycles were performed with intraoperative CT imaging, demonstrating circumferential coverage of the lesions. Posttreatment venogram revealed patent stent grafts within the intrahepatic IVC, and restoration of vessel patency. No immediate postoperative complications were noted. The patient’s abdominal and lower extremity swelling resolved completely within 1 week after procedure. Two-month follow-up CT demonstrated markedly decreased size of the metastatic lesions and no adverse effects. Six- and 9-month PET-CT scans demonstrated maintained patency of the IVC stent. This palliative procedure allowed the patient to maintain good performance status and alleviated her symptoms of IVC syndrome. The radial force generated by the multiple aortic stents will ostensibly maintain the patency of the intrahepatic IVC. Cryoablation of the encasing metastatic lesion was performed with markedly decreased size of the tumor on the 2-month follow-up.






