-
About this article
Cite this article
Nutan Dixit, Shalini Trivedi, Vikas Kumar Bansal. 2021. Clear-Cell Adenocarcinoma of the Gallbladder with Alpha-Fetoprotein Production: A Case Report and Review of the Literature. Gastrointestinal Tumors. 8:55 doi: 10.1159/000512955
Clear-Cell Adenocarcinoma of the Gallbladder with Alpha-Fetoprotein Production: A Case Report and Review of the Literature
- Received: 13 September 2020
- Accepted: 09 November 2020
- Published online: 27 January 2021
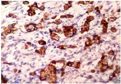
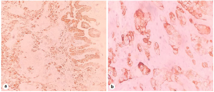
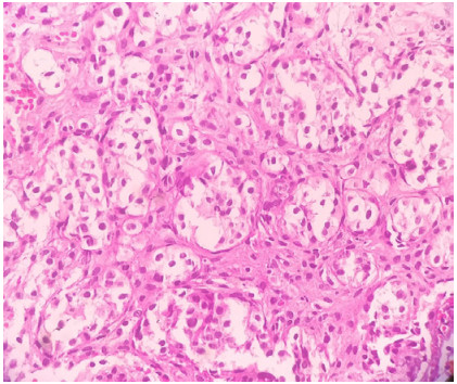
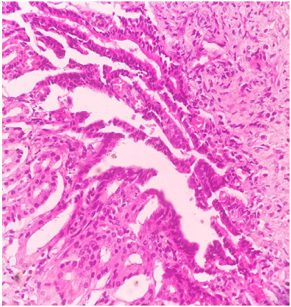
Abstract: Gallbladder tumors are the fifth most common cancers of the gastrointestinal tract with poor prognosis and low survival. The most common type is adenocarcinoma of which the clear cell type is an unusual histologic variant with alpha-fetoprotein (AFP)-producing gallbladder carcinoma, reported extremely rarely, which makes the index case an uncommon entity. AFP secretion by gallbladder carcinomas may occur given the similar embryological origin of liver and gallbladder. Herein we report a case of an incidental carcinoma of the gallbladder in a 60-year-old woman with an elevated serum AFP concentration at presentation, who underwent cholecystectomy for cholelithiasis and was rendered the diagnosis of AFP-producing clear cell carcinoma of the gallbladder through histopathology and immunohistochemistry. Her postoperative laboratory tests showed a decline in AFP levels to normal respectively. The clinical and pathologic importance of AFP production by clear-cell adenocarcinoma of the gallbladder (CCG) has thus far remained completely obscure. However, we must recognize the entity of this tumor because accurate and early diagnosis of CCG is imperative to avoid misdiagnosis as possible secondary metastasis and consequent delay in appropriate surgical intervention. Relevant medical history of a patient, various imaging studies, foci of classical adenocarcinoma within the tumor, and an efficient immunohistochemical panel can be informative and assist in arriving at an accurate diagnosis.
-
Key words:
- Gallbladder /
- Clear-cell carcinoma /
- Alpha-fetoprotein






