-
About this article
Cite this article
Sushma Bharti, Jyotsna Naresh Bharti, Arvind Sinha, Taruna Yadav. 2021. Common and Rare Histological Variants of Hepatoblastoma in Children: A Pathological Diagnosis and Review of the Literature. Gastrointestinal Tumors. 8:512236 doi: 10.1159/000512236
Common and Rare Histological Variants of Hepatoblastoma in Children: A Pathological Diagnosis and Review of the Literature
- Received: 20 July 2020
- Accepted: 08 October 2020
- Published online: 04 February 2021
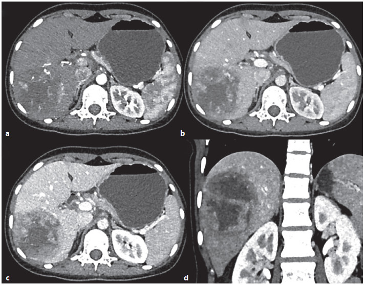
Abstract: Hepatoblastoma (HB) is a rare tumor, but it is the most common primary liver malignancy in children and comprised of approximately 1% of all pediatric malignancies. Mostly, this tumor is sporadic in nature but can show a syndrome association. Upregulation in Wnt/β-catenin pathway can be there in 70–80% cases of HB. Most often present as abdominal mass and has a raised alpha-fetoprotein levels. Distant metastasis usually occurs in the lungs. HB is classified into 2 broad categories: epithelial and mesenchymal type. The majority of HB are epithelial type. The HB must be distinguished from focal nodular hyperplasia, hepatocellular adenoma, and hepatocellular carcinoma, while small-cell undifferentiated HB from the malignant rhabdoid tumor. The histomorphology and immunohistochemistry are essential for the diagnosis of different HB. The neoadjuvant chemotherapy followed by surgery is the mainstay of the treatment. The 2 well-established prognostic factors of HB are stage and histological type. Herein, we report a case series of common and rare histological variants of HB.
-
Key words:
- Hepatoblastoma /
- Mixed type /
- Teratoid /
- Small-cell variant /
- Children






