-
About this article
Cite this article
Tanweerul Huda, Mohammad Masoom Parwez, Bharati Pandya. 2021. Metastatic Hepatic Epitheloid Hemangioendothelioma in a Young Male: A Rare Presentation. Gastrointestinal Tumors. 8:63 doi: 10.1159/000513963
Metastatic Hepatic Epitheloid Hemangioendothelioma in a Young Male: A Rare Presentation
- Received: 26 September 2020
- Accepted: 22 December 2020
- Published online: 18 February 2021
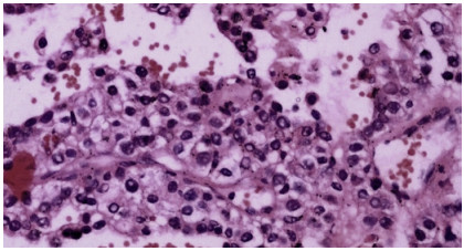
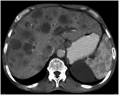
Abstract: Hepatic EHE (epithelioid hemangioendothelioma) is an uncommon entity of vascular origin and a low-grade malignant tumor. Primary hepatic EHE is rare. These tumors can be multifocal at presentation like in the soft tissues, bones, brain, liver, and small intestine. First described by Weiss and Enzinger in 1982 as a malignant vascular neoplasm with indolent behavior. We report the case of a 23-year-old male, known case of chronic liver disease, who presented with incisional hernia following exploratory laparotomy 8 months back, performed for intestinal obstruction. Contrast-enhanced computed tomography abdomen revealed an incisional hernia with a large defect along with multiple lesions in the liver (suspected metastases) and peritoneal deposits and a few discrete lung nodules. Some areas of interloop collections were also noted. Biopsies were taken from the liver which revealed benign cirrhotic lesion. Relevant to the findings, multiple biopsies were performed and fluid was sent for evaluation. The liver biopsy came out positive for borderline vascular malignancy (epithelioid hemangioendothelioma). This was confirmed with the immunohistochemistry report. Epithelioid hemangioendothelioma occurs mostly in soft tissues of extremity and lungs. The involvement of the liver may be seen as metastasis or rarely as a primary tumor. The incidence of primary malignant hepatic hemangioendothelioma is about 0.1/100,000; the mean age at the time of diagnosis is 41.7 years, and male:female ratio is 2:3. Liver transplantation, hepatectomy, chemoembolization, radiotherapy, and chemotherapeutic agents are reported treatment regimens. Malignant EHE of liver presents as multiple hepatic nodules. Being locally aggressive, it can invade the peritoneum, gut, and lungs. Orthoptic liver transplantation appears to be the only remedy because of the multifocal nature of the disease. Partial hepatectomy is possible for localized tumors.






