-
About this article
Cite this article
Mangalore Amith Shenoy, Lydia Winnicka, Leili Mirsadraei, Douglas Marks. 2021. Anal Cancer with Mediastinal Lymph Node Metastasis. Gastrointestinal Tumors. 8:514112 doi: 10.1159/000514112
Anal Cancer with Mediastinal Lymph Node Metastasis
- Received: 18 September 2020
- Accepted: 29 December 2020
- Published online: 08 March 2021
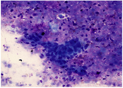
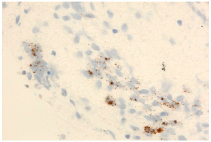
Abstract: Squamous cell carcinoma of the anal canal remains rare, with metastatic disease even less commonly reported. We present a case of a patient with both a prior history of squamous cell carcinoma of the anal canal as well as breast cancer, who was without evidence of disease for 1 year. She was subsequently found to have FDG-avid mediastinal lymphadenopathy, initially assumed to be related to her more recent breast cancer. However, a biopsy confirmed recurrent anal cancer, with HPV infection. This represents a novel site of spread for anal cancer, one not yet reported in the literature.
-
Key words:
- Anal cancer /
- Colorectal cancer /
- Metastasis /
- Imaging /
- Biopsy






